[中图分类号]R782.6[文献标志码]A [doi] 10.7518/gjkq.2026120 [摘要]青少年特发性髁突吸收(JICR)是一种发病率较低的颞下颌关节疾病,以髁突组织进行性“吸收”为主要特征,造成患者下颌升支的高度降低、下颌后缩、前牙开等口颌面畸形。根据笔者研究团队的最新动物实验研究结果,与生长发育完成后出现的髁突吸收不同,JICR可能是发育期异常咬合所致关节软骨退变相关的突病理
[摘要]全球人口老龄化进程加速,老年人口腔健康问题凸显,口腔衰弱(OF)作为新兴的老年综合征,与全身健康存在显著的双向关联,严重影响老年人的功能状态和生活质量。本文系统综述 了OF的概念、流行病学现状、标准化评估工具及多学科干预策略,并对未来研究 方向提出展望,以期为临床实践和科学研究提供全面的参考依据。
[摘要]牙保存相关上颌窦底提升术是在控制根管感染、治愈病变的基础上,以最大程度保存天然牙为目标的重要治疗技术。该术式以上颌牙-牙槽骨-上颌窦复合体为解剖基础,其成功实施依赖于对局部多重风险因素的系统评估。本文围绕患牙状态(如牙根位置及长度)、牙槽骨条件(如骨高度、腭大神经血管束)、上颌窦解剖特征(如窦底形态、黏膜厚度)以及牙根与上颌窦的位置关系等方面,系统分析可能影响手术安全性与疗效的局部风险因素,旨在为临床术前评估与方案制定提供依据,从而提升治疗的可预测性与长期成功率。
[摘要]目的高糖相关的巨噬细胞炎性衰老是诱导其功能障碍及牙周损伤的关键因素,本研究旨在探讨低能量激光治疗(LLLT)对该过程的调理作用。方法用不同能量密度的激光处理高糖转低糖环境培养的小鼠骨髓巨噬细胞(iBMDM),评估其吞噬、迁移功能及炎性衰老水平;构建糖尿病小鼠模型,比较单纯胰岛素治疗、单纯LLLT与胰岛素联合LLLT对牙周组织形态及炎性衰老表型的影响。结果LLLT增强iBMDM迁移及吞噬能力,并降低炎性衰老标志物的表达;体内实验中,LLLT联合胰岛素治疗改善糖尿病诱导的牙龈黏膜上皮增厚、层次紊乱、上皮钉突缩短及牙槽骨吸收,并减轻局部炎性衰老负荷。结论LLLT有效逆转高糖相关的巨噬细胞炎性衰老及其所致的牙周组织损伤,有望成为维护糖尿病患者口腔健康的有效辅助治疗方法。
[摘要]目的通过生物信息学技术分析筛选转移和非转移型头颈鳞状细胞癌(HNSCC)组织中基因的表达规律,进一步筛选转移相关关键分子。方法从癌症基因组图谱数据集中选取了具有明确信息的19例HNSCC转移型和48例HNSCC非转移型患者的相关数据,通过生物信息学技术分析筛选在转移、非转移型HNSCC中上调和下调的差异表达基因,并对其进行聚类分析、京都基因与基因组百科全书分析和基因本体论分析。其中 β -1,4-N-乙酰半乳糖胺基转移酶4(B4GALNT4)因其“调整后的 P 值”最小从而被选为关键基因,并通过逆转录及定量反转录聚合酶链式反应、蛋白免疫印迹实验对其进行细胞水平验证。结果与非转移型HNSCC组织相比,转移型中有76个基因显著下调,99个基因显著上调,其中B4GALNT4基因表达上调最显著。细胞水平检测发现,与转移能力弱的UM-2细胞相比,转移能力强的UM-1细胞中B4GALNT4的mRNA水平和蛋白表达水平均显著增加(P<0.05) ;与UM-2细胞相比,UM-1细胞中蛋白O-糖基化的水平也显著增加( P< 0.05)。结论B4GALNT4在转移型HNSCC组织和细胞中均表达上调,其表达与蛋白质糖基化的水平呈正相关关系,B4GALNT4有望成为一个肿瘤转移防治新靶点。[关键词]头颈部鳞状细胞癌;转移; β -1,4-N-乙酰半乳糖胺基转移酶4;糖基化[中图分类号]R739.8[文献标志码]A[doi] 10.7518/gjkq.2026211
[摘要]目的探究氧化钇添加量对氧化锆的微观结构变化和光学性能的影响。方法选择同一品牌的氧化锆材料,分别添加 3mol% (3Y)、 4mol% (4Y)和 5mol% (5Y)的氧化钇预烧结盘,完成样品规格设计、切削和致密化烧结。用于材料微观结构表征的陶瓷样品,烧结后为直径 9mm ,厚 2mm 的圆片;用于材料的光学性能表征的陶瓷样品,烧结后为 6mm×8mm 、厚 0.5~1.0mm 等厚度间隔的方片,共6组( 。使用扫描电子显微镜技术表征材料表面形貌,X射线衍射技术表征材料的晶相结构;使用椭圆偏振仪表征材料的折射率,光谱仪表征材料的透射率和对比度(CR值)。结果氧化钇添加量增加,晶体直径增加;四方相比例在4Y组最高( 59.49% ,5Y组最低( 19.46% )。随着氧化钇添加量增加,折射率降低。透射率受到波长和材料厚度显著影响,同一材料的透射率在长波段( 705nm )最高,短波段( 435nm )最低。3Y组与4Y组的透射率小于 1% ,5Y组的透射率在短波段 ( 435nm )低于 1% ,在长波段( 705nm )最高超过 10% 。CR值受材料厚度的影响较小,3Y和4Y的CR值为 0.8±0.1 ,仅个别组之间的差异有统计学意义;5Y组的CR值为 $0 . 4 { \pm } 0 . 2 \ \$ ,与其他两组差异均有统计学意义。结论氧化钇添加量较低时,主要促进四方相晶体的生长;而氧化钇添加量较高时,则显著促进立方相晶体的生长。氧化钇的添加量提高到 5mol% 时,才能有效提高氧化锆的半透性。
[摘要]目的采用孟德尔随机化(MR)法研究特定线粒体功能与口腔扁平苔藓(OLP)存在之间的因果关系,探讨线粒体功能障碍对OLP的影响,为深入了解OLP的发病机制和寻找潜在的治疗靶点提供参考。方法本研究的数据来源于开放全基因组关联研究(IEU)和芬兰基因组研究计划(FINNGEN)数据库。从IEU数据库中筛选出69种与线粒体功能相关的遗传变异位点,从FINNGEN数据库中获得了包含587例病例和411594例对照的OLP数据。采用R语言4.3.2进行MR分析,采用逆方差加权(IVW)、MREgger回归法(MR Egger)和加权中位数法,评估线粒体变异与OLP之间的因果关系。工具变量的选择设置了 P<5e-5 的统计学阈值,消除连锁不平衡的标准包括设置 r2>0.001 和去除 1000kb 范围内的单核苷酸多态性(SNP);同时还进行了异质性检验和定向水平多效性检验。结果MR分析发现特定线粒体功能与OLP之间的关联存在统计学意义。比值比(OR)小于1时,提示对OLP具有保护作用。谷氧还蛋白-2(Grx2)(IVW, OR=0.768 , P=0.036 )和线粒体肽蛋氨酸亚砜还原酶(MPMSR)(IVW, OR=0.680 , P=0.044 )均小于1;相反,丙二酰辅酶A脱羧酶(MCD)(IVW, OR=1.591 ,P=0.022 )、39S核糖体蛋白L34(MRPL34)(IVW, OR=1.826 , P=0.034 )和核糖体再循环因子(RRF)(IVW,OR .=1.498 , P=0.0049 )的OR值大于1,提示这些因素是OLP的危险因素。进一步的反向验证强调了MCD与OLP的相关性具有统计学意义(IVW, OR=1.134 , P=0.045 ),表明OLP也是这种线粒体功能的危险因素。结论本研究基于MR发现特定线粒体功能与OLP之间的因果关联存在统计学意义,其中Grx2和MPMSR等与氧化还原稳态相关的线粒体蛋白显示出对OLP的保护作用,而MCD、MRPL34和RRF等则可能增加OLP的患病风险。
[摘要]目的调查在布依族、苗族聚集的贵州省黔南州惠水县成人牙齿缺失情况及其影响因素,识别危险因素,以便进行牙齿缺失的早期防治,降低发病风险。方法采用多阶段分层随机抽样的方法,在布依族、苗族聚集的惠水地区共选取成人4216名,检查其口腔缺失牙情况,并进行问卷调查,采用单因素分析、多因素Tam-hane'sT2分析以及多因素Logistic回归分析对调查结果进行统计分析。结果共调查4216人,其中男1594人,女2622人,年龄18\~93岁,平均50.5岁。共计缺牙7214颗,缺失牙比例 31.45% ,人均缺牙数1.7颗,缺牙义齿修复率 32% 。单因素分析显示:年龄、民族、学历、职业、家庭月收人、吸烟、刷牙时长及次数、饮酒、锻炼时长与次数、看电子产品时长、饮食中酸、麻、辣及清淡、糖尿病、高血压、心脏病对牙齿缺失有影响。多因素分析表明:苗族、高中及大学以上学历的居民、月收入8000元以上跟牙齿缺失呈负相关;80岁以上、务农、吸烟量(日) >40 支、吸烟年数 >20 年、从来不刷牙、每次刷牙时长 <1min 、每天喝酒、日看电子产品时长 <2h 、从不参与锻炼、户外锻炼 >4h/d 、糖尿病、高血压、心脏病对比组内其他因素,其牙齿缺失更严重。多因素Lo-gistic回归分析显示:年龄、职业、最高学历、家庭月收入、刷牙时长、饮酒、锻炼时长、周锻炼次数、日看电子产品时长、酸、清淡、高血压是牙齿缺失的重要影响因素。结论贵州省惠水县居民牙齿缺失较多,义齿修复情况普遍较低,应针对其牙齿缺失的重要影响因素加强该地区牙齿缺失疾病控制。
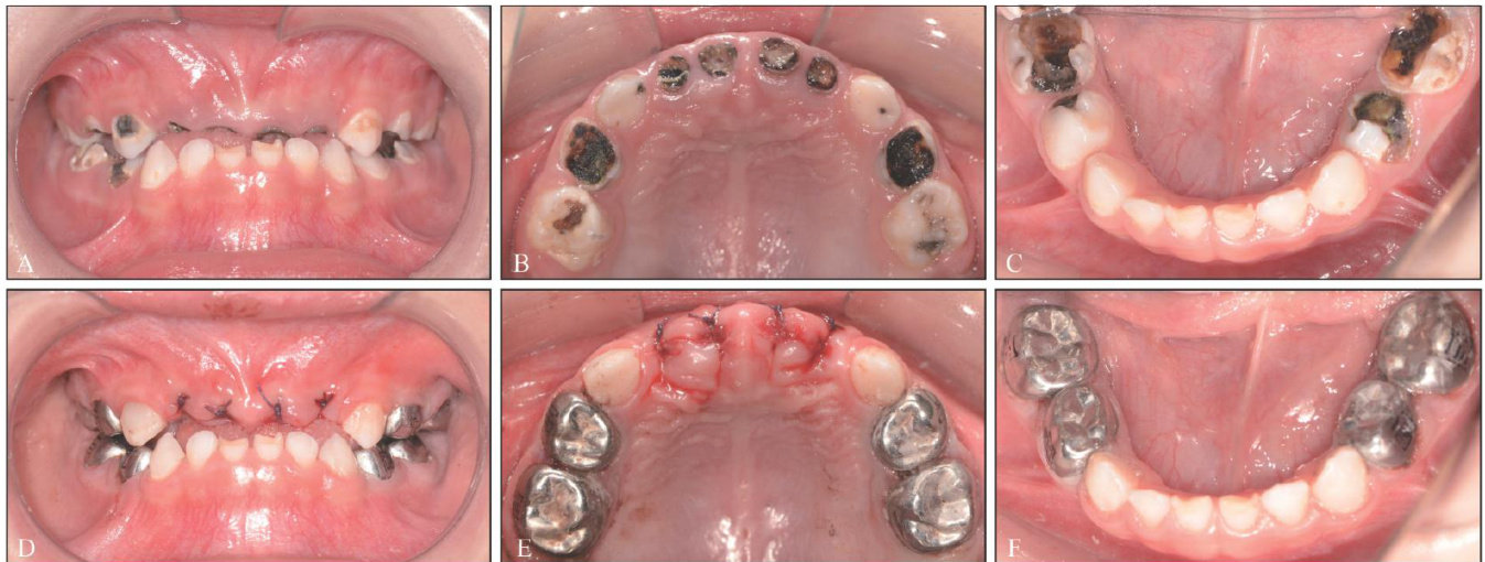
[摘要]目的总结重度低龄儿童龋患者全身麻醉下牙科治疗的术后反应,为医患沟通、术后护理提供参考。方法回顾性分析诊断为重度低龄儿童龋、美国麻醉医师协会健康状况分级(ASA)评分I级、因无法配合常规治疗而进行全身麻醉下牙科治疗的患者临床资料。术后 24h 进行电话随访,1周后进行临床检查。结果共纳入40名3\~5岁儿童,平均治疗牙齿数量12.5颗,平均手术时间 186min 。在 24h 电话随访中,23名儿童0 57.5% )出现了术后反应,其中12名儿童( 30% )出现了发热症状,17名儿童( 42.5% )有牙齿疼痛症状。1周后复诊时,绝大多数患儿( 95% )已无不适,仅2名儿童分别有牙龈溃疡和咬合不 适症状。结论低龄儿童全身麻醉下牙科治疗的术后反应可在数日内缓解,对患儿 术后生活影响小。术后随访是必要的。
[摘要]釉珠是最常见的异位牙釉质,发生机制尚不明确。临床中釉珠主要通过影像学检查或引起相关临床症状时被发现。釉珠与牙周组织为半桥粒连接,这种连接减弱了牙周组织防御感染的能力。此外,釉珠的存在使菌斑免受唾液酶及口腔清洁措施的影响,利于菌斑滞留,易导致发生牙体牙髓和牙周疾病。釉珠的早期诊断、评估、处理具有重要的临床意义。本文通过回顾釉珠相关文献,对釉珠的命名、发生率、诊断及鉴别诊断、分类、形态特点、分布特点、理化性质、组织学特征、组织来源与发生机 制、临床意义、处理策略等方面进行综述,为釉珠的临床诊治与进一步研究提供 参考。
[摘要]牙周炎是由菌斑微生物感染引起的慢性炎症性疾病,牙周基础治疗可清除牙周袋内的菌斑及牙石,抗菌药物可作为辅助治疗手段,清除牙周袋深部的微生物。辛伐他汀是常用的降血脂药物,具有抗炎、抗菌、促进骨形成的作用,为牙周炎治疗提供新的可能。辛伐他汀水溶性低、代谢快、骨亲和力差,难以在牙周组织内达到有效浓度。采用前药递送策略以改善其理化与药代动力学性质成为有效的解决方案,基于此策略开发的辛伐他汀前药能够显著提高其牙周炎治疗效能。本文综述了近年来国内外辛伐他汀前药局部给药系统相关文献,分析了辛伐他汀生物利用度低的原因,阐述了辛伐他汀治疗牙周炎的可能机制,特别聚焦于前药设计在增强牙周组织靶向性、改善药物释放行为方面的新策略,旨在为辛伐他汀给药系统的构建和应用提供 参考,
[摘要]乳酸作为葡萄糖无氧氧化产物,长期以来被认为是代谢废物。随着研究的深入,乳酸在细胞信号传导、代谢调节、免疫调节、能量代谢等方面发挥着重要作用。蛋白质乳酸化修饰是由乳酸介导的一种新型翻译后修饰,可直接改变蛋白质的化学结构与功能,刺激基因转录,改变细胞表型,参与多种疾病的发生发展。口腔鳞状细胞癌(OSCC)是头颈部最常见的恶性肿瘤之一,通过糖酵解途径产生大量乳酸,为肿瘤细胞提供能量和生物合成前体;乳酸通过介导表观遗传调控机制,影响肿瘤的发生进展。本文综述乳酸及蛋白质乳酸化修饰在OSCC发生发展过程中的研究进展,总结出靶向乳酸代谢及其修饰过程可作为OSCC潜在 治疗策略,为代谢干预联合表观遗传治疗提供了新视角和理论依据。
[摘要]甲基丙烯酰化明胶(GeIMA)水凝胶作为热门生物材料,以其适于细胞生长和分化的三维结构、优异的生物相容性等特性,在骨组织工程、皮肤组织缺损修复等领域已有广泛研究。近年来, GeIMA水凝胶及其复合材料在神经组织修复领域的应用逐渐兴起,本文旨在探讨Gel- MA水凝胶应用于神经组织修复的研究进展,为神经组织再生提供新的见解与思路。 [关键词]甲基丙烯酰化明胶水凝胶;神经修复;人工神经导管;组织工程 [中图分类号]R318.08[文献标志码]A [doi]10.7518/gjkq.2026210
[中图分类号]R783.4 [文献标志码] A [doi] 10.7518/gjkq.2026108 [摘要]随着公共卫生条件的日益改善,病毒性肝炎发病率在全球范围呈下降趋势,但中国仍有超过1/5的人群正面临乙型肝炎、丙型肝炎、肝硬化、肝癌等慢性肝病(CLD)的威胁。针对CLD患者的口腔种植治疗不仅要考虑原发疾病本身及并发症对种植体骨结合的影响,还需要关注相关治疗药物对骨代谢的影响。本文将对上述
[摘要]钛种植体植入机体后会引起宿主免疫炎症反应,其进程影响骨组织的修复与再生。以巨噬细胞为核心的骨免疫调控近年来备受关注。仿生多孔钛种植体表面形貌可调控其周围免疫微环境中巨噬细胞的生物学行为,促进血管生成和加速骨改建。本文阐述了巨噬细胞在仿生多孔钛种植体植入后免疫反应中的作用及其表面处理后骨免疫调控能力,重点介绍表面仿生多孔结构设计对巨噬细胞生物学行为的影响。深入理解钛种植体与机体界面相互作用,为临床仿生设计、制备具有免疫调节功能的多孔钛种植体提供新思路。
[摘要]上颌面罩前方牵引(PFM)是早期矫治上颌发育不足的常用方法,交替式上颌快速扩缩弓(AIt-RAMEC)能有效打开和激活上颌骨周围骨缝,在PFM中配合AIt-RAMEC能否增强牵引效果颇受临床医生的关注。本文将对上颌PFM结合AIt-RAMEC治疗骨性I类错畸形的生物学和生物力学原理、临 床应用、临床效果及潜在风险等方面作一综述,以便为该技术的临床应用提供 参考。
[摘要]目的口腔颌面外科学知识覆盖面广、专业性强,口腔医学生在学习过程中面临一定难度,需不断优化教学方法以提升学习效果。本研究旨在探讨结合超星学习通平台与翻转课堂模式在口腔颌面外科学教学中的应用价值。方法通过整合超星学习通平台的教学资源管理功能与翻转课堂的探究性学习形式,构建线上线下混合教学模式。在该模式下,学生利用平台资源进行课前自主学习,课堂时间则侧重于研讨、案例分析及实践操作。结果该教学模式有助于整合与管理教学资源,提升教学效率;同时能够有效激发口腔医学生的学习兴趣与主动性,培养其自主学习和临床思维能力。结论超星学习通与翻转课堂相结合的教学 模式适用于口腔颌面外科教学,可缓解学科内容繁杂、信息量大的教学难点,为优化口腔医学专业课程教学提供可行路径。
书籍名称:《北大口腔 健康护航:预防保健先行》 主编:郑树国,司燕出版社:人民卫生出版社 内容简介:本套丛书的读者对象包括各年龄人群的公众。围绕口腔健康生活问题、口腔疾病预防问题、口腔疾病诊治常识等公众关心的热点问题进行全面阐释与权威解答。本套丛书包括11个分册,分别侧重补牙、镶牙、种牙、整牙、牙周、口腔预防、儿童口腔、口腔黏膜、口腔外科、口腔美学、老年口腔等主题。每个分册包括50个左右的科普
书籍名称:《系统口腔正畸学》主编:房兵,夏伦果,赵宁出版社:辽宁科学技术出版社 内容简介:本书是一部集基础理论与临床实践于一体的权威专著。全书分为基础篇与临床思维篇,共14章,系统覆盖从牙颌面美学、错畸形诊断、生物力学、组织改建、数字化技术到各类错畸形的治疗策略与多学科联合治疗。书中融合上海交通大学医学院附属第九人民医院正畸科多年临床经验与科研成果,结合国内外最新文献,旨在为口腔正畸医生、研究生
书籍名称:《口腔遗传病与罕见病诊疗常规》 主编:段小红出版社:人民卫生出版社 内容简介:本书包括上下两篇,上篇为口腔遗传病与罕见病的概论,包括遗传病与罕见病的概念、检查、遗传咨询、伦理等;下篇为个论,详细介绍了27种遗传病、罕见病。个论部分针对不同遗传病、罕见病,按照临床诊疗流程书写,重点在每个病的遗传咨询。因为罕见病多与遗传相关,遗传咨询可帮助医生回答患者对遗传相关问题的疑问。由于医生接触到
一、简介《国际口腔医学杂志》是介绍国内外口腔医学及相关学科的新动态、新进展、新理论、新技术和新经验的专业性学术刊物,为促进口腔医学学术交流和口腔医学事业的发展服务。主要报道形式有专家共识、专家笔谈、中青年专家论坛、专家病例展示、论著、综述、病例报告、方法介绍、争鸣等。主要供从事口腔医学和相关学科的医疗、教学、科研工作者以及临床医生和在校学生阅读。 二、选题按照预防与治疗、普及与提高、理论与实际、
主编:石冰 副主编:赵铱民 凌均棨郭传瑋赵怡芳沈国芳 赵志河 林云锋 常务副主编:王晴 常务编委: (按姓名汉语拼音顺序排序)冯 云黄定明 赖文莉 梁新华满 毅 潘 剑万乾炳赵蕾周红梅邹静 编 委: (按姓名汉语拼音顺序排序) 白丁 白玉兴 包崇云 巢永烈 陈涌 陈吉华 陈仁吉 陈伟良陈新民 陈新明 陈扬熙 戴永雨 邓典智 邓锋 丁一 范兵冯云 傅开元 高学军 葛久禹 宫苹 谷志远 郭莲